Pneumonia

 

Pneumonia

TYPES

1 . Community-Acquired(primary) pneumonia (typical or atypical pneumonia)

2 . Hospital-Acquired (nosocomial) pneumonia

3 – Aspiration pneumonia

4 – Pneumonia in the immunocompromised host including AIDS.

COMMUNITY-ACQUIRED PNEUMONIA

It occurs in previously healthy individuals.

The presentation may be typical or atypical.

Bacterial

Streptococcus pneumoniae

Mycoplasma pneumoniae

Haemophilus influenza

Chlamydia pneumoniae

Chlamydia psittaci

Legionella

Staphylococcus aureus

Coxiella

Viral

Influenza

Parainfluenza,

Respiratory syncytial virus

Depending upon the causative organisms, rapidly of onset, clinical and radiographic evaluation, and laboratory findings, this community-acquired pneumonia can be divided into typical and atypical pneumonia. This designation of “Typical” & “Atypical” is very helpful in providing clues to the possible causes.

Typical pneumonia causes

Streptococcus pneumonia (a most common cause of pneumonia)

Atypical pneumonia causes

Mycoplasma pneumoniae

Legionella

Chlamydia pneumoniae

Viral pneumonia

Coxilla

Typical Pneumonia clinical features

Fever

Chills

Productive cough with purulent sputum

Chest pain

Signs of consolidation such as

Decreased chest movements

Dullness on percussion

Increased vocal fremitus,

Bronchial breath sounds

Crepitations.

Atypical Pneumonia clinical features

Non- pulmonary features are predominant such as

Gradual onset of fever

Dry cough

Myalgia

Arthralgia

Headache

Sore throat

Nausea, vomiting

Diarrhoea

Respiratory symptoms (chest pain, productive cough) are less marked as

compared to typical pneumonia.

Investigations

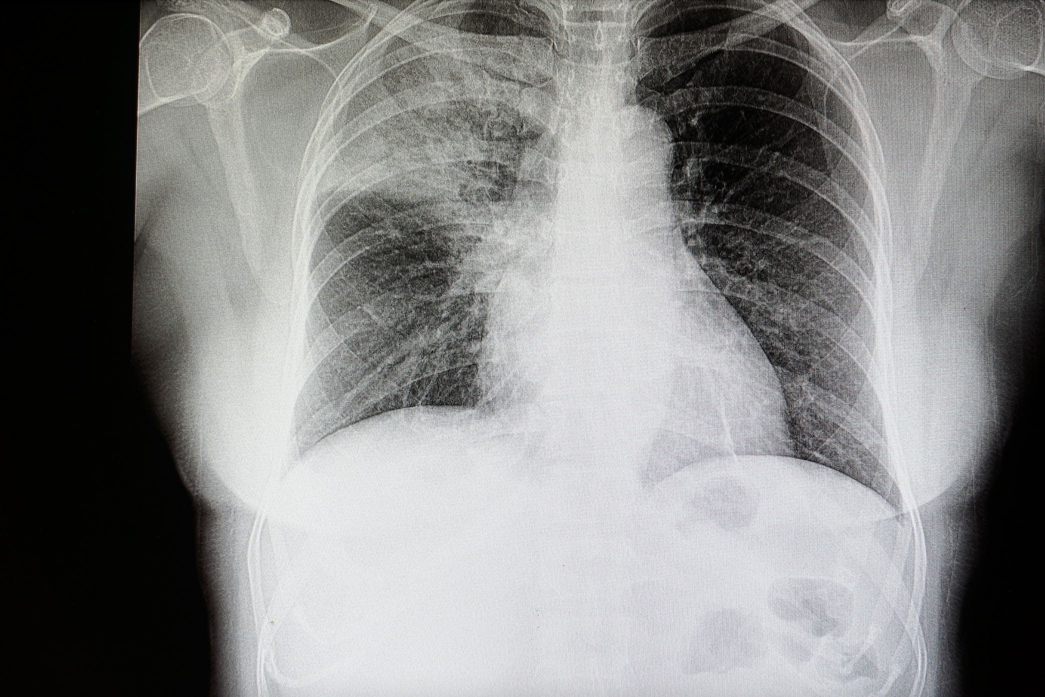
Chest x-ray Typical pneumonia —  Patchy or lobar infiltrate (opacity)

Chest X-ray Atypical pneumonia — Patchy non- lobar infiltrates

This is necessary for confirmation of diagnosis and for early detection of complications e.g. pleural effusion and empyema.

Radiological changes lag behind the clinical course so that x-ray changes may be minimal at the start of the illness. Usually, radiological changes appear 12-18 hours after the onset of illness. Conversely, consolidation may remain on the chest x-ray for several weeks after the patient is clinically cured. However, a chest x-ray should always return to normal by 6 weeks. Persistent changes on chest x-ray after this time suggest a bronchial abnormality, usually a carcinoma, with persisting secondary pneumonia.

X-ray chest may show patchy or homogenous opacity localized to the affected lobe or segment. However, the pattern of radiographic abnormalities is not specific to any particular cause of pneumonia.

FBE/ESR

Blood Culture

Serological tests

Pneumococcal antigen test. Serologic test of sputum, urine, and serum for pneumococcal antigen is 3-4 times more sensitive than sputum or blood cultures.

Serological tests (for atypical pneumonia) may be helpful in the diagnosis of mycoplasma, Legionella, chlamydia, and viral infection. A four-fold rise of antibody titer suggests recent infection.

Arterial blood gas measurement –  Measured in the seriously ill patient.

MANAGEMENT

Admit to hospital / Outpatient treatment-  Depends upon the severity of pneumonia

Analgesics for pleural pain

Antibiotics